頭痛と副鼻腔炎

   鼻の病気で、頭痛や目の痛みが起こることがあります。

 

   長く続く頭痛にはいろいろな原因があります。

   脳への血液の流れに問題があるケース(片頭痛や群発頭痛など)や、脳自体に異常がある場合(脳腫瘍や脳出血など)が挙げられます。三叉神経痛や、後頭神経痛などの神経痛もあります。筋肉に関連する筋緊張性頭痛も珍しくありません。時には血管炎等、免疫が関係した病気の症状であることもあります。

  

副鼻腔炎による頭痛

   頭痛の原因を確かめるため、脳神経外科、神経内科、一般内科などいろいろ受診される場合があります。検査の中でCTやMRIを撮られ、副鼻腔炎が見つかって紹介されるケースが時々あります。

 

   副鼻腔炎の場合、多くは蝶形洞(ちょうけいどう)や篩骨洞(しこつどう)という、眼の間や眼の奥の空洞に炎症があります。炎症そのものの痛みではなく、時には嚢腫(のうしゅ)という袋ができ、それによる圧迫で痛みが起こっている場合もあります。

   

   特に蝶形洞に病変があると、頭の芯の痛みや、目の奥に痛みが出ることもあります。時には視力や見える範囲が狭まって来たり、二重に物が見えるといった症状が出ることもあります。

 

副鼻腔や上咽頭の腫瘍

   副鼻腔炎だけでなく、副鼻腔の腫瘍、鼻の奥の上咽頭の腫瘍が痛みの原因であることもあります。


頭痛 副鼻腔炎 前頭洞炎

   この患者さんは、右眼の上の持続的な痛みで受診された方です。
   頬や目の内側、奥、おでこの部分に4つの副鼻腔という空洞があります(→副鼻腔炎とは

 この方は前頭洞という前額部の奥の空洞とお鼻の間の交通路がつまっており、前頭洞の中に膿がたまった前頭洞炎を起こしていました。


   


   眼の上の頭痛は、三叉神経痛でも起こります。

   三叉神経は顔面の感覚に関係した神経で、眉の部分から顔の表面に枝が出ています。三叉神経痛の場合、顔面表面の痛みで、電撃痛、拍動痛等が多いようです。皮膚を触ると痛みが激しくなる、ビリビリするなどが特徴的です。

    レントゲンやCTで副鼻腔炎がなく、三叉神経を疑う場合、神経の興奮を抑える薬を処方します。


   この患者さんも目の内側の重い感じ、痛みにて受診された方です。

 

 篩骨洞という目の内側の副鼻腔に嚢腫という袋ができています。

 蓄膿症(副鼻腔炎)の手術を以前に受けた方にまれに見られますが、全く手術を受けたことがない方の例もあります。場合によっては眼を圧迫し、ものが二重に見えたりすることもあります。

 

 こういう嚢腫は、手術で鼻腔側から交通をつけます。

手術後の鼻からの写真ですが、嚢胞と鼻腔内に交通がついています。


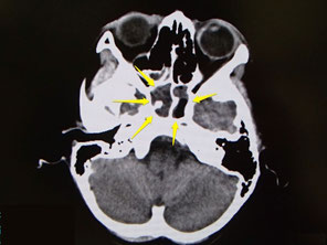
 われるような目の辺りの痛みで眠れないとの訴えで来院された、子供さんです。

 

  CTで蝶形骨洞に陰影があり、服鼻腔炎による痛みも考えられ、抗生剤の点滴を受けられました。

 

 約2ヶ月程度、内服での副鼻腔炎の治療を行い、蝶形骨洞炎が消えたのを確認しました。 


 頭痛が主訴であった。鼻の奥の上咽頭がんの患者さんです。

 

 上咽頭癌では、頭の芯や後頭部の痛みを訴えられることがあります。