くびの柔らかいしこり(先天性リンパ管腫など)

3先天性リンパ管腫

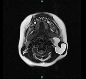
 これも生まれつき持っている袋の病気です。正中頸嚢胞や、側頸嚢胞と異なり、1つの袋状ではなく、内部に壁を伴った、2つ以上の袋が集まったような形をしていることもよくあります。内部にはリンパ液がたまっています。
   これも胎生期に、リンパ管という管が作られる際に、リンパ管が膨れたり、小さいリンパ管が集まって、袋のような柔らかい腫瘤をつくります。

上記2つに比べ柔らかく、下を向いたりすると膨らみが強くなることがあります。症状は無いことが多いのですが、感染すると痛みを伴います。


 また体中のいろいろな場所にできますが、特にくびにできたものは大きくなると気管を圧迫し、呼吸がしにくくなり危険なことがあります。このような場合は手術で摘出することになります。ただし、形がいびつなことも多く完全摘出がなかなか難しいこともあります。

 

 そのため、手術でなく、OK432注入療法を行うこともあります。これはピシバニール(OK432)というお薬を超音波で腫瘤を確認しながら中に注入する方法です。この薬は袋の中で炎症を起こし組織を変化させて、液が溜まってくるのを抑えると言われています。がま腫という口の中や、首にできる唾液管由来の袋でもこの治療を行います。

 

 この方法は簡便ですが、大きい腫瘤は小さくするのが難しいことがあります。

 外来でできる処置ですが、小さいお子さんの場合は、全身麻酔で行います。

 また気管のそばの腫瘤に対して行うと、処置後に周囲が炎症で腫れ上がり、呼吸が苦しくなることがあります。そのため、病院での入院治療が必要です。


4.がま腫

 がま腫とは、舌下腺や唾液管が何らかの刺激で損傷をうけることで、そこから唾液が外に漏れ、やがてその周囲に膜ができ袋状になったものです。実際取り出すと、うすい膜でおおわれた半透明の袋をしています。中には唾液が溜まっています。(→がま腫)

 

 通常口の中の底、舌の付け根にできます。口を開けたときに見ることができます。ときには、口の底の筋肉のすき間から、顎の下方にはみ出るような形でできることがあります。こういうケースでは、一見正中頸嚢胞のような、顎の下に袋がみられることがあります。


5.その他の柔らかい腫瘤

 血管腫という血管が母体となった良性の腫瘍なども時々見られます。また脂肪腫という脂肪の塊なども見られます。


6.悪性の腫瘍

 柔らかい液がたまったような腫瘤は良性の病気で腫瘍より嚢胞(袋)のことが多いのですが、まれに悪性腫瘍のこともありますので、注意が必要です。